UVEITIS
potentially sight threatening Inflammation
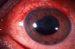
A red eye with uveitis, a potentially sight
threatening disease.

They include
Reiter's syndrome: Presents
with urethritis (burning sensation with urination,
penile lesions), polyarthritis (arthritic symptoms in
multiple joints), and iritis
Ankylosing
spondylitis: Characterized by an inflammatory
involvement of the sacro-iliac joints (low back, sacral
area)
Ulcerative colitis (Crohn's
disease): May cause recurrent abdominal discomfort and
diarrhea
Psoriatic arthritis:
Causes a combination psoriasis (skin disease) and
arthritis Aortitis (inflammation of the aorta, the major
artery from the heart): This is quite rare but may be
life threatening
Juvenile rheumatoid
arthritis