Optical Coherence Tomography
essential to diagnosis
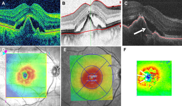
At
Berwick Eye Centre we have installed the most powerful
OCT machine available : the CIRRUS 5000 OCT and OCTA.
It allows the finest resolution or retinal, and anterior segment data and is also capable of OCT angiography,(OCTA)
OCTA is the gold standard to detect early diabetic retinopathy and has a role in many retinal vascular disorders.
The Cirrus 5000 is the best way to track glaucoma and macular degeneration to avoid over and under treatment. It also is capable of checking structures on the front of the eye to evaluate narrowed anterior chamber angles and the need for preventative laser iridotomy.
RICH VISUAL DETAIL
It's pretty incredible how we can
now look at the eye with a level of detail we never had
before. Since this OCT gives me exponentially greater
amounts of data, I can detect diseases at very early
stages—which is especially beneficial in borderline
cases.
As a cataract surgeon, I really
like to look at the macula and retina, especially if I'm
considering using a premium intraocular lens, to make
sure I'm going to meet the patient's visual
expectations.
If the patient is a diabetic, it's prudent to make sure that they don't have any macular edema. Sometimes these findings can be very subtle and CIRRUS is a really big help detecting it. Also, when you're examining patients, it's sometimes difficult to see previous LASIK flaps, but with CIRRUS you're able to pick that up very easily.
OCT In stroke

OCT in Glaucoma

OCT in Macular Degeneration

OCTA in Diabetes

OCT in epiretinal membrane / retinal folds
